Capo & Enola

Enola mit Capo

Unsere trächtige Enola am 31.12.2015 beim Spaziergang am Edersee

Capo als Welpe

Capo und Enola nach der Verpaarung am 04. November 2015
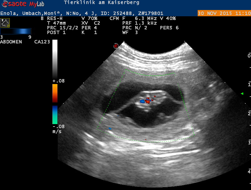
Blieb nicht ohne Folgen:
Ultraschallbild (Beweisfoto)

Am 30.11.2015 wurde von Dr. Kresken die Trächtigkeit von Enola bestätigt.

